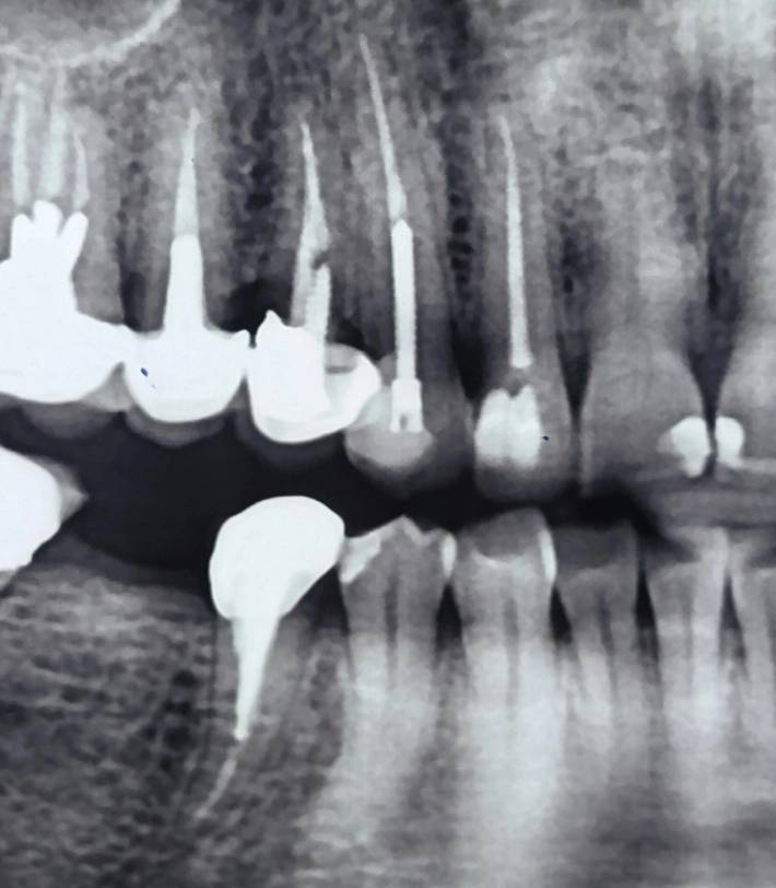
بیمار پس از دریافت چند نظر درمانی، برای تصمیمگیری نهایی در مورد دندان ۴ بالا سمت راست مراجعه کرده بود.
بر اساس رادیوگرافی پانورامیک، به او پیشنهاد کشیدن دندان و جایگزینی با ایمپلنت داده شده بود.
علت تمایل بیمار به تعویض روکش، نقص ظاهری آن بهدلیل چیپینگ پرسلن و نمای فلزی بود.
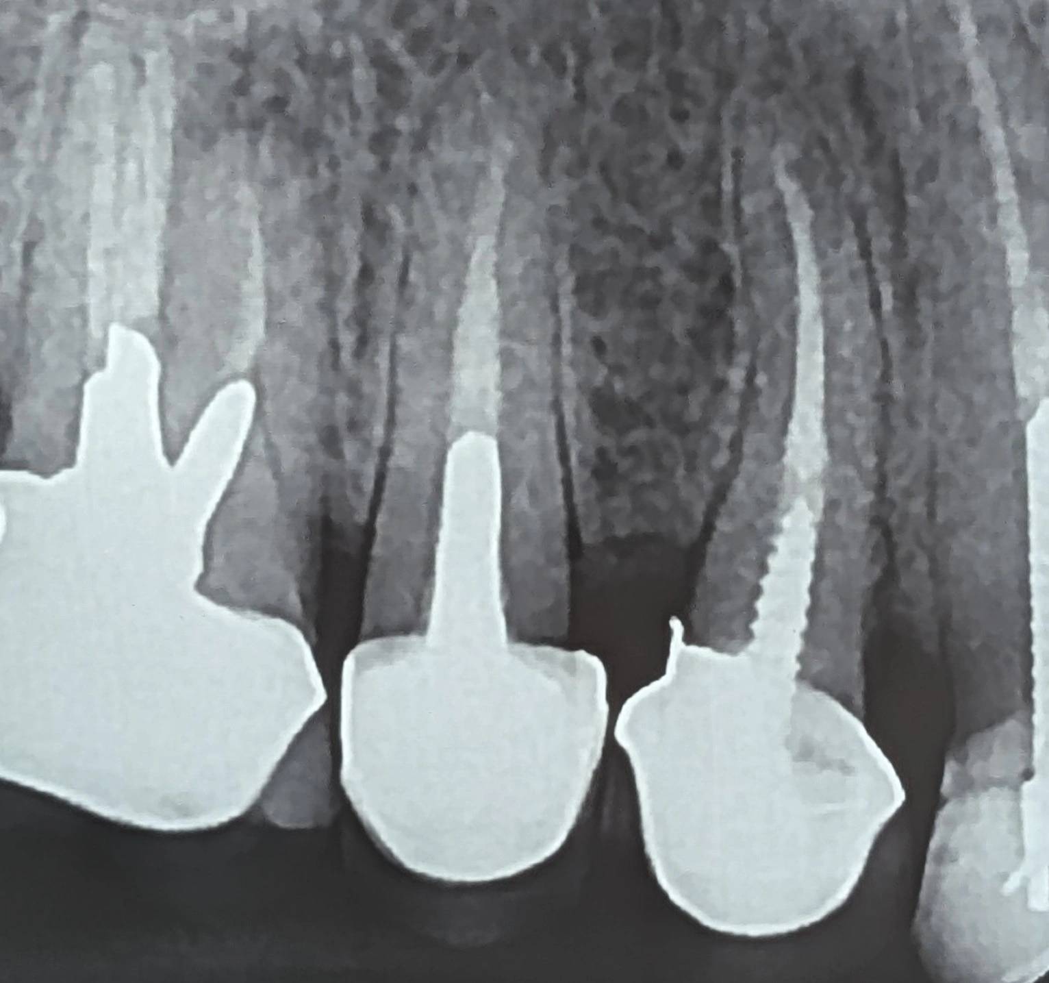
در ارزیابی اولیه، محدودیتهای پانورامیک در تشخیص جزئیات ساختاری مدنظر قرار گرفت
و رادیوگرافی پریاپیکال از ناحیه تهیه شد.
در PA،
نشانهای از پوسیدگی ثانویه گسترده، ضایعه اپیکالی یا تخریب غیرمعمول ساختار ریشه مشاهده نشد.
با این حال، ارزیابی قطعی وضعیت دیوارهها، میزان فرول و کیفیت کور،
تا زمان برداشت روکش امکانپذیر نیست.
نکته کلیدی این کیس، نه صرفاً در رادیوگرافی، بلکه در عملکرد واقعی دندان در طول زمان است.
این روکش، بهعنوان یک واحد پروتزی، حدود ۱۵ سال در دهان باقی مانده و همچنان در فانکشن شرکت دارد.
این یعنی مجموعهای از تمام عوامل شناختهشده و ناشناخته—از کیفیت درمان اولیه و طراحی پروتز گرفته تا شرایط اکلوژن، عادات بیمار و پاسخ بیولوژیک—
در نهایت به یک خروجی مشخص منجر شدهاند: بقای عملکردی دندان.
بهعبارتی،
ما با سیستمی مواجهیم که ۱۵ سال تحت بار واقعی تست شده و «fail» نشده است.
این داده، جایگزین ارزیابی مستقیم نیست،
اما یک real-world clinical evidence محسوب میشود که میتواند در ذهن کلینیسین،
پروگنوز نگهداری دندان را بهطور معناداری بهبود دهد.
این کیس یادآوری میکند:
تفاوت میان پانورامیک و پریاپیکال، فقط در وضوح تصویر نیست—
بلکه در سطح تصمیمسازی است.
و فراتر از هر دو،
گاهی مهمترین داده، چیزی است که در هیچ تصویری ثبت نمیشود:
زمان.