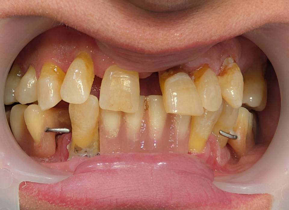
بیمار با شکایت اصلی از ظاهر دندانهای قدامی فک بالا مراجعه کرده بود.
در بررسی اولیه، وضعیت فک پایین بهگونهای بود که طرح درمان اوردنچر برای آن در نظر گرفته شد.
در فک بالا، تعدادی از دندانها با درمانهای پیشرفته پریودنتال قابل نگهداری بودند،
اما این «قابلیت نگهداری»، بهمعنای «قابلیت بازسازی زیبایی» نبود.
سؤال بیمار ساده اما معنادار بود:
«نمیشود با ونیر کامپوزیت اینها را زیبا کرد؟»
همین سؤال، نقطهی شروع تحلیل کیس بود.
در ارزیابی کلینیکی، چند نکته تعیینکننده وجود داشت:
دندانها پروکلاین و بیرونزده بودند،
ساپورت پریودنتال کاهشیافته بود،
و اکوسیستم دهان در وضعیت شکنندهای قرار داشت.
در چنین شرایطی، ونیر کامپوزیت نهتنها مشکل پروفایل و پوزیشن را اصلاح نمیکند،
بلکه با افزودن حجم و ایجاد اورکانتور،
کنترل پلاک را دشوارتر کرده و ریسک التهاب و تخریب بیشتر را افزایش میدهد.
بهعبارتی،
ما در حال اضافهکردن یک لایهی زیبایی به سیستمی هستیم که از نظر بیولوژیک ناپایدار است.
حتی اگر از نظر تکنیکی بتوان ونیر انجام داد،
سؤال اصلی این نیست که «میشود؟»
بلکه این است که:
«این درخواست چه چیزی را دربارهٔ کیس به ما نشان میدهد؟»
در این کیس، پاسخ روشن بود.
درخواست بیمار برای ونیر کامپوزیت،
بیش از آنکه یک راهحل باشد،
یک سرنخ تشخیصی بود—
سرنخی از ناهماهنگی بین انتظارات زیبایی و محدودیتهای بیولوژیک و موقعیتی دندانها.
بر همین اساس،
تحلیل مجموع فاکتورها—از وضعیت پریودنتال و الگوی تحلیل استخوان گرفته تا موقعیت دندانی و پروگنوز بلندمدت—
ما را از رویکردهای ترمیمی محدود،
به سمت یک تصمیم بازسازی کامل هدایت کرد.
تصمیم نهایی،
فول اکسترکشن و بازسازی ایمپلنتمحور بود.
این کیس یادآوری میکند:
درخواستهای زیبایی بیماران را نباید صرفاً بهعنوان «درمان پیشنهادی» دید—
گاهی همین درخواستها،
مهمترین دادهٔ تشخیصی ما هستند.