Chairside 06
فرول؛ یکی از مهمترین پایههای یک درمان موفق
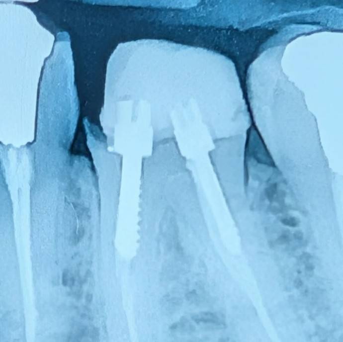
- بیمار با شکایت اصلی در ناحیهای دیگر مراجعه کرده بود. در معاینه، دندان ۶ پایین چپ توجه را جلب کرد. یک ترمیم کامپوزیت بیلدآپ بیکیفیت و بدون باند درست مشاهده میشد که با عود پوسیدگی و لیکیج همراه بود. بخش قابل توجهی از ساختار تاجی از بین رفته بود و عملاً فرولی وجود نداشت.
- با توجه به شرایط باقیماندهٔ دندان، اگر قرار باشد این دندان برای روکش حفظ شود، ابتدا نیاز به درمان مجدد ریشه خواهد داشت. پس از آن، برای ایجاد فرول کافی باید جراحی افزایش طول تاج انجام شود.
- اما در این دندان یک محدودیت مهم وجود دارد: با توجه به موقعیت پوسیدگی و میزان از دست رفتن ساختار و محل استخوان و فورکا، افزایش طول تاج احتمالاً به درگیری فورکیشن نزدیک خواهد شد. در چنین شرایطی حتی اگر درمانها انجام شوند، پیامدهایی مانند گیر غذایی و مشکلات پریودنتال قابل انتظار است.
- بنابراین مسیر درمانی برای حفظ دندان هم پرهزینه است و هم با پیشآگهی محتاطانه همراه خواهد بود. به همین دلیل گزینهٔ کشیدن دندان و جایگزینی با ایمپلنت بهعنوان درمان منطقیتر با بیمار مطرح شد.
- در همینجا نکتهای غیرمنتظره مطرح شد: بیمار گفت این دندان قبلاً توسط دندانپزشک دیگری تراش خورده و قرار است بهزودی روکش آن تحویل داده شود.
- این همان لحظهای است که کنار یونیت، سؤال اصلی شکل میگیرد: وقتی دندانی عملاً فاقد فرول است، آیا میتوان انتظار داشت یک روکش بهتنهایی پیشآگهی قابل قبولی ایجاد کند؟ آن هم نه روکش ایدهآل — بلکه روکشی که قرار است روی پوسیدگی باقیمانده گذاشته شود.
- در چنین شرایطی، اگر درمان با شکست مواجه شود، نبود فرول احتمالاً یکی از اولین عواملی است که در تحلیل علت شکست مطرح خواهد شد و قصور آن بر عهده درمانگری است که بدون فرول اقدام به درمان پروتزی کرده است.