DentCast
DentCast
دکتر فواد شهابیان ↗

🟦 Insight — ارزیابی واقعی دندان فقط بعد از برداشتن روکش

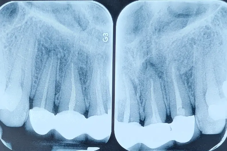
ارزیابی دندان زیر روکش اسپلینت شده

🟦 Clinical Insight

وقتی روکش‌ها به هم اسپلینت هستند، احتیاط باید دو برابر باشد.

در بیمارانی که روکش قبلی آنها می‌بایست خارج شود، تا زمانی که روکش برداشته نشود، وضعیت واقعی دندان—حجم تاج، پوسیدگی، ترک—قطعاً معلوم نیست. این یک قانون همیشگی‌ست.

اما وقتی چند دندان به‌صورت اسپلینت کنار هم قرار گرفته‌اند، این عدم‌قطعیت چند برابر می‌شود؛ چون افرادی که دندان‌ها را بی‌دلیل اسپلینت می‌کنند، خیلی احتمال دارد که دندان‌های Hopless را هم برای نگه‌داشتن، به دندان‌های سالم اسپلینت کنند و ظاهر کار گول‌زننده می‌شود.


🦷 خلاصهٔ بالینی

بیمار برای تعویض چهار روکش متصل به هم مراجعه کرده بود.

در چنین شرایطی من همیشه از ابتدا به بیمار می‌گویم:

چرا؟ چون در اسپلینت‌ها احتمال وجود دندانِ Hopless (غیرقابل نگهداری) که صرفاً با اتصال به بقیه سرپا مانده، بسیار بالاست.


⭐ نکتهٔ کلیدی

ارزیابی دندان همیشه پس از برداشتن روکش است—اما در روکش‌های اسپلینت، باید آمادگی بیشتری برای هر سناریویی داشت.

✍️ دکتر فواد شهابیان
متخصص پروتزهای دندانی و ایمپلنت

جستجوی سراسری دنت‌کست