🟦 Insight — درد مبهم و مرزهای مسئولیت در درمان

تشخیص درد دندان و مدیریت قانونی روکش تازه

🟦 Clinical Insight

همیشه "درد" جایی نیست که بیمار نشان می‌دهد؛ و همیشه "درمان فوری" بهترین لطف به بیمار نیست.

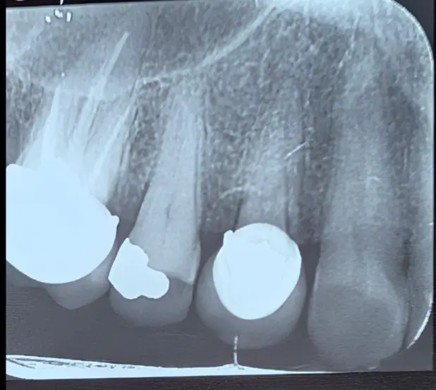
در این کیس، بیمار با شکایت از درد شدید سمت راست فک بالا مراجعه کرد. بیمار و حتی نمای ظاهری دندان‌ها (سایش شدید دندان ۵) انگشت اتهام را به سمت دندان پرمولر دوم می‌بردند، اما حقیقت چیز دیگری بود.

چالش اصلی این کیس دو لایه داشت:


1️⃣ فرار از تله‌ی تشخیص چشمی با تست‌های اندو

در نگاه اول، دندان ۵ به دلیل سایش زیاد ، کاندیدای اصلی درد به نظر می‌رسید و بیمار هم دقیقاً به همان ناحیه اشاره می‌کرد.

اما اکتفا به ظاهر فریبنده است. علاوه بر گرفتن History دقیق، انجام تست‌های اندو (Endodontic Tests) کلید حل معما بود.

نتایج تست‌ها نشان داد که دندان ۵ با وجود سایش، مشکل پالپی ندارد و عامل اصلی درد، دندان ۴ است که به‌تازگی روکش شده.

نکته کلیدی: در دردهای شدید، پدیده "درد ارجاعی" می‌تواند هم بیمار و هم دندانپزشک را گمراه کند. تنها تست‌های دقیق اندو می‌تواند مجرم واقعی را از دندان‌های کناری تمیز دهد.


2️⃣ مدیریت بحران و پروتکل قانونی

طرح درمان مشخص شد: خارج کردن روکش، درمان ریشه و پروتز مجدد.

اما چالش اصلی اینجا بود: بیمار به شدت مستأصل بود، اصرار داشت کار همان لحظه انجام شود و اصلاً تمایل نداشت به درمانگر قبلی مراجعه کند.

چرا با وجود اصرار بیمار، دست نگه داشتم؟ چون روکش "تازه" گذاشته شده است.


3️⃣ استراتژی محافظت از خود (Self-Protection)

احتیاط شخصی و حرفه‌ای من در این موارد واضح است:

برای جلوگیری از مسائل قانونی (Medico-legal)، "حداقل مرحله‌ی خارج کردن روکش تازه" باید توسط درمانگر قبلی انجام شود.

این کار دو فایده دارد:


✔️ جمع‌بندی نهایی کیس

در مواجهه با بیماری که درد دارد و روکش جدیدی دریافت کرده:

✍️ دکتر فواد شهابیان
متخصص پروتزهای دندانی و ایمپلنت