🟦 Insight 37 — پریدگی دیستال لمینیت لترال: تداخل فانکشنال پنهان در حرکات پروتروزیو
📝 توضیح بالینی
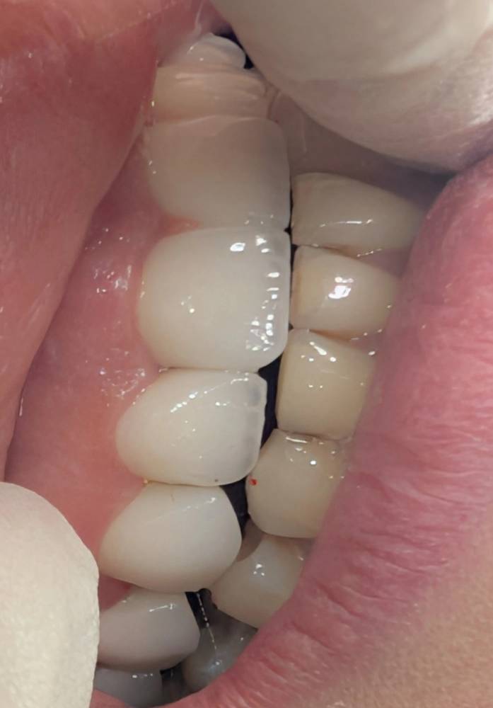
شکست سرامیک در دیستال لترال؛ پیامد نادیدهگرفتن مسیر حرکتی کانین پایین
-
در تحویل لمینیتهای قدامی، یکی از نقاط مستعد شکست سرامیک، ناحیه دیستال دندان ۲ (لترال بالا) است؛ بهویژه زمانی که تنظیمات اکلوژن بهصورت دقیق و دینامیک انجام نشده باشد.
-
در این کیس، ناحیه دیستال لترال بالا در معرض تماس مستقیم با کانین فک پایین قرار دارد. این تماس نه در حالت حداکثر اینترکاسپیشن، بلکه در حرکات پروتروزیو و مسیرهای پیشگرایی (Anterior Guidance) اتفاق میافتد.
-
نکته اینجاست که این نوع تداخلها اغلب در بررسی استاتیک دیده نمیشوند و فقط در حرکت خود را نشان میدهند.
-
دو عامل کلیدی در ایجاد این مشکل نقش دارند:
-
۱. عدم تنظیم صحیح Guidance قدامی — اگر مسیر حرکتی دندانهای قدامی بهدرستی طراحی و تنظیم نشده باشد، کانین پایین میتواند در حرکت به جلو، به ناحیه دیستال لترال بالا برخورد کند.
-
۲. طراحی نادرست کانتور دیستال لترال — برجستگی یا over-contour در این ناحیه میتواند بهعنوان نقطه تماس زودرس عمل کند و نیرو را مستقیماً به لبه سرامیک منتقل کند.
-
پیامد این تداخل، وارد شدن نیرو به لبه نازک سرامیک است که در بلندمدت یا حتی کوتاهمدت، منجر به چیپ شدن یا پریدگی (Chipping) میشود.
-
نکته کلیدی:
بررسی اکلوژن در لمینیتهای قدامی فقط به تماسهای استاتیک محدود نیست. هر واحد باید در مسیر حرکتی لتروزیو و پروتروزیو نیز ارزیابی شود. دیستال لترال بالا یکی از نقاطی است که اگر دیده نشود، خودش را با شکست نشان میدهد.
✍️ دکتر فواد شهابیان
متخصص پروتزهای دندانی و ایمپلنت