DentCast
DentCast
دکتر فواد شهابیان ↗

Chairside 02

فضای بیش‌ازحد در ناحیه پرمولر؛ تصمیم پروتزی در محدودیت ارتودنسی

Space analysis for premolars

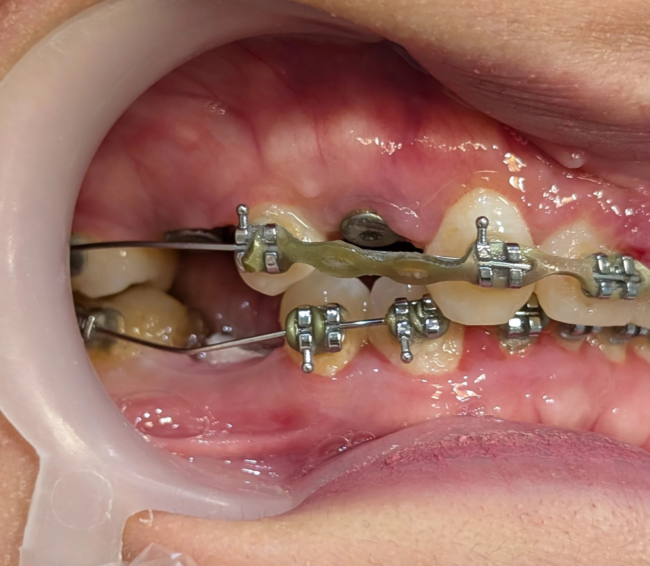
امروز بیماری از طرف متخصص ارتودنسی برای ارزیابی فضا ارجاع شد. سؤال ساده بود: «فضاها مناسب‌اند یا نه؟»

در موارد مرزی، مسیر من مشخص است: اسکن، طراحی کامپیوتری، ساخت روکش موقت با اندازه آناتومیک صحیح؛ سپس ارزیابی اینکه فضا کم است یا زیاد و بر همان اساس تکمیل درمان ارتودنسی.

اما این کیس مرزی نبود.

پشت کانین، فضایی وجود داشت که برای یک پرمولر واضحاً زیاد بود؛ آن‌قدر زیاد که اگر بخواهیم استاندارد آناتومیک را رعایت کنیم، عملاً به ساخت یک مولر در موقعیت پرمولر می‌رسیم.

و اینجاست که مسئله فقط میلی‌متر نیست. نمای مولر بلافاصله پشت کانین برای اکثر بیماران خوشایند نیست. از نظر بصری سنگین است.

به همین دلیل حتی ساخت موقت هم انجام نشد. فضا در همین مرحله رد شد و نامه برای ارتودنتیست ارسال گردید.

پاسخ این بود که امکان تغییر فضا وجود ندارد؛ جابجایی بیشتر، نظم کلی درمان را به‌هم می‌زند.

پس تصمیم به شروع کار گرفته شد — با ثبت این نکته که اگر در لبخند نهایی ایرادی دیده شود، منشأ آن تشخیص پروتزی نیست، بلکه محدودیت ارتودنسی است.

فکری که شاید در ادامه اجرا شود: ساخت یک ایمپلنت و طراحی دو پرمولر روی یک ایمپلنت تا بیمار نمای دو دندان را ببیند، نه یک مولر پهن و سنگین.

کنار یونیت، گاهی تصمیم‌ها بیشتر از آنکه میلی‌متری باشند، تصویری‌اند.

✍️ دکتر فواد شهابیان
متخصص پروتزهای دندانی و ایمپلنت

جستجوی سراسری دنت‌کست